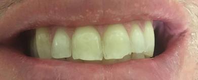
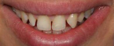
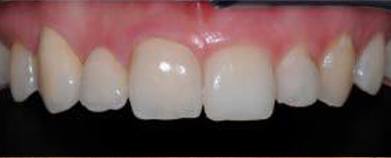
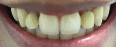
Smile Gallery
At ZM Dental in Tampa, Florida, we use only the best materials and the latest techniques to give you a bright, beautiful, natural looking smile.
Working Hours
- MON - TUE10:00 am - 6:00 pm
- WED10:00 am - 3:00 pm
- THU10:00 am - 6:00 pm
- FRI9:00 am - 12:00 pm
- SAT - SUNClosed
